20 AVENUE DE LOWENDAL, 75015 Paris
+33 1 43 06 20 50

Traitement en 2 temps


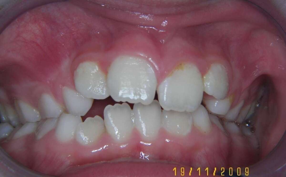
Intrabuccale face avant traitement

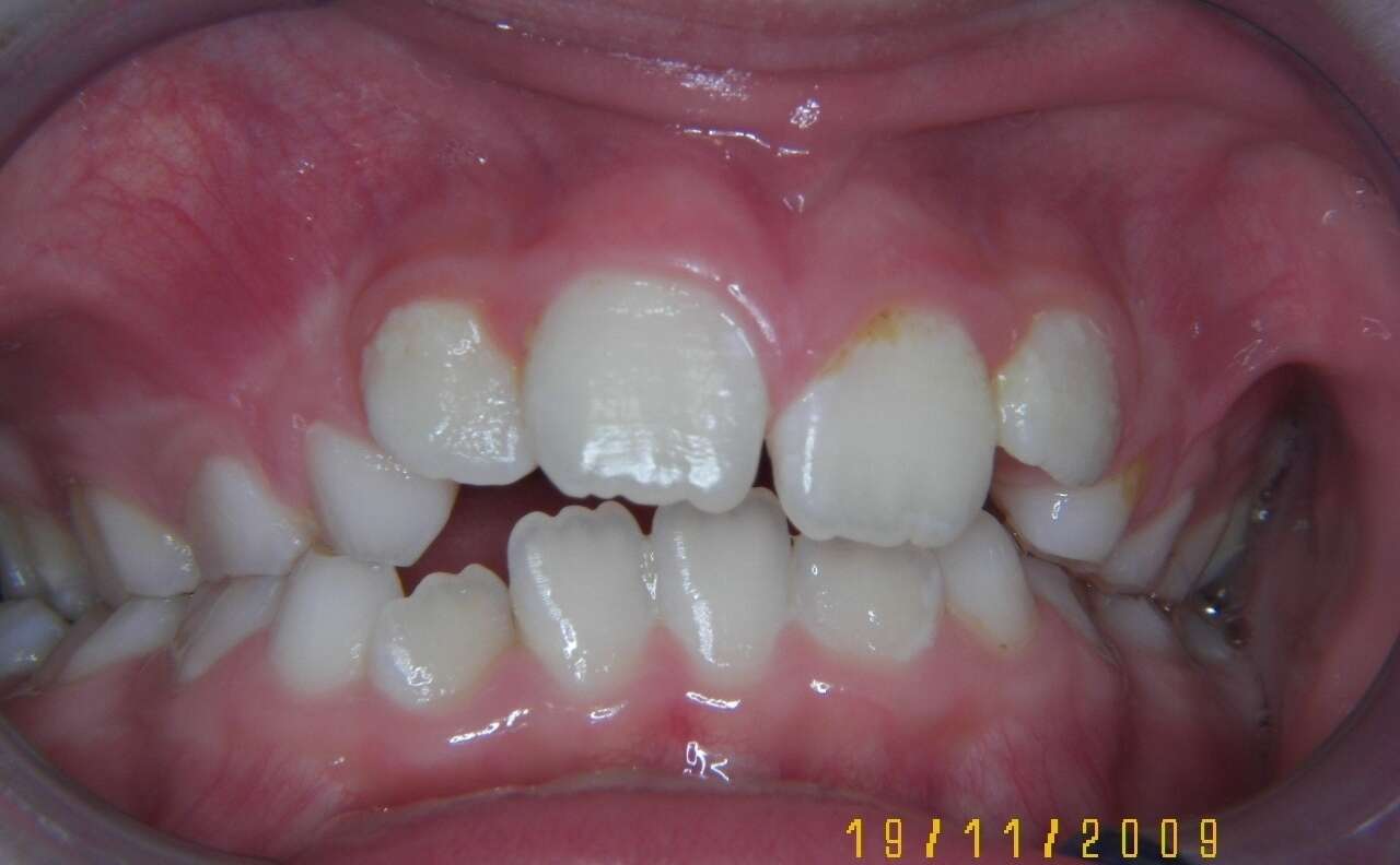
Intrabuccale face fin de la première phase

Intrabuccale face après traitement

Création par Webdentiste

Connexion