ACCUEIL
DR CAROLE BOUBLI
NOTRE CABINET
ORTHODONTIE
OBJECTIFS
MATÉRIEL ET APPAREILS
TRAITEMENTS
INFOS PRATIQUES
ACTUALITÉS
CONTACTEZ-NOUS
PRENDRE RDV EN LIGNE
Appeler
MENU
Localisation
20 AVENUE DE LOWENDAL, 75015 Paris
+33 1 43 06 20 50
ACCUEIL
DR CAROLE BOUBLI
NOTRE CABINET
ORTHODONTIE
OBJECTIFS
MATÉRIEL ET APPAREILS
TRAITEMENTS
INFOS PRATIQUES
ACTUALITÉS
CONTACTEZ-NOUS
PRENDRE RDV EN LIGNE
Encombrement incisif
Fiches conseils
Intrabuccale face
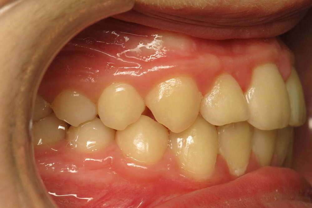
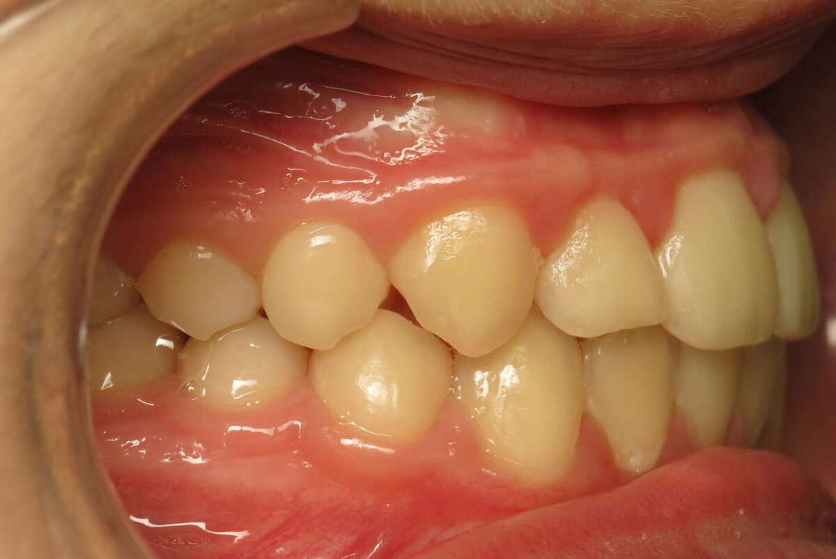
Intrabuccale gauche
Partager
Twitter
Partager
Partager
Envoyer
Copier
Politique de confidentialité et charte cookie
Mentions légales
Conditions Générales Utilisation
Charte déontologique
Ordre national
Annuaires chirurgiens dentistes
20 AVENUE DE LOWENDAL
75015
Paris
+33143062050
Rechercher dans le blog Blog
Création par
Connexion
Vidéo en cours de lecture